



医院动态
医院动态
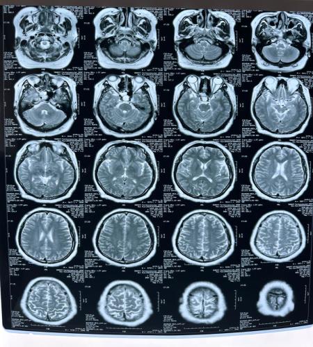
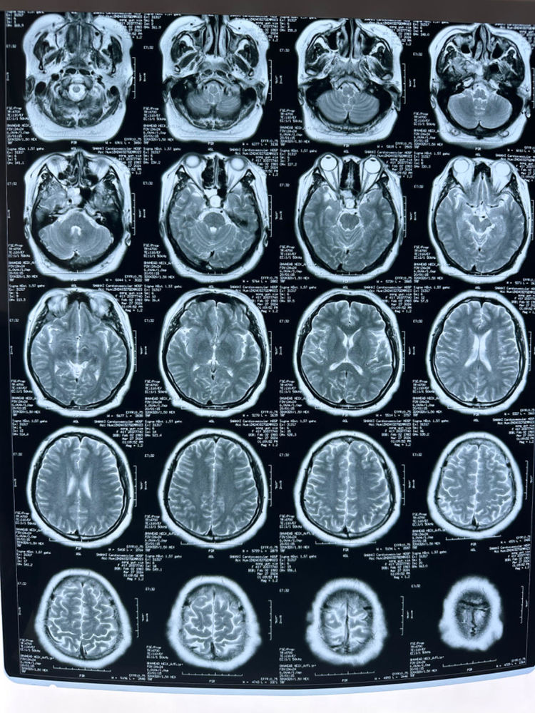
医院动态近期,维多利亚网络平台网址收治了一位特殊的病患。主因“右侧鼻腔间断流清水样涕1月余,加重2日”就诊于我院耳鼻喉头颈外科门诊,曾按鼻窦炎进行治疗,效果欠佳,张浩杰主任询问病史及检查后诊断为脑脊液鼻漏。
持续的脑脊液漏不仅会造成脑脊液循环动力学的紊乱,出现体位性头痛和头晕,而且还会进一步增加脑膜脑炎、切口愈合不良甚至是颅内出血等并发症的风险,需立即入院治疗。
经核磁室、CT室、检验科及神经外科多学科协作讨论后,诊断为:右侧蝶窦外侧隐窝脑脊液鼻漏伴脑膜脑膨出。遂迅速制定详细手术方案,并顺利完成了内镜经鼻右侧蝶窦外侧隐窝脑脊液鼻漏修补术+股外侧筋膜部分切除术。
目前患者术后恢复良好,无并发症。在今后的工作中,维多利亚网络平台网址耳鼻科将进一步加强学科建设,促进多学科协作,提升医疗服务质量,为广大患者提供更加优质的医疗服务。
维多利亚网络平台网址

晋公网安备 14010902000808号