



健康宣教
科普知识
科普知识患者宋××,女,66岁,2024年5月11日于外院行冠脉旁路移植术,出院后规律口服抗栓药物,5月21日出现上腹部不适,呕吐咖啡渣样胃内容物,排黑便,化验便潜血阳性、血红蛋白63g/L,外院经抑酸、输血等治疗后复查血红蛋白为79 g/L。为进一步诊治,于5月24日收入我科,入院两天后患者再次出现乏力、出冷汗、心率增快、血压下降,排黑便两次、内混有暗红色血凝块,血红蛋白降至58g/L,考虑存在上消化道活动性出血,患者生命受到严重威胁。为了抓住内镜下止血时机,老年医学科消化病区经科室讨论后,决定立即为患者行胃镜检查,明确出血部位、必要时行内镜下止血治疗,并进行了充分的术前医患沟通。
在密切监测生命体征,给予抑酸、补液、扩容、输血治疗的同时,高慧涛副主任医师为患者行胃镜检查,发现患者十二指肠球部可见一巨大血凝块,影响观察。
十二指肠球部(可见一巨大血凝块)
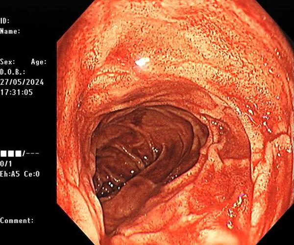
经反复冲洗、吸引,去除血凝块后,可见十二指肠球部多发溃疡,球部小弯侧溃疡处可见血管裸露及活动性出血,十二指肠降部可见鲜红色血迹附着。
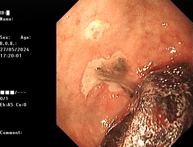
小弯侧溃疡处可见血管裸露及活动性出血
十二指肠降部可见鲜红色血迹附着
在内镜中心张丽荣护士长的精准配合下,迅速对血管裸露处予3枚钛夹夹闭止血,效果立竿见影,出血立即停止,后反复冲洗观察,未见再出血。
止血前后对比
两日后复查胃镜,十二指肠球部钛夹夹闭处未见出血,十二指肠降部粘膜光滑,嘱患者进食流质饮食。
继续给予抑酸、保护粘膜等治疗,监测血细胞分析,血红蛋白逐渐上升,患者好转出院,出院前血红蛋白116g/L。
抗血小板药物广泛应用于心脑血管疾病防治。抗血小板药物所致消化道损伤在服药后12个月内为多发阶段,3个月时达高峰,应评估心血管疾病及消化道出血的风险,权衡利弊,紧急或24 h 内行内镜检查明确出血部位、性质并进行止血治疗。内镜检查能发现上消化道病变,应尽量在出血后24 h内进行,并备好止血药物和器械。对于血流动力学不稳的上消化道出血患者,应在积极液体复苏、纠正血流动力学紊乱后尽早行紧急内镜检查。有循环衰竭征象者(意识淡漠、皮肤苍白、四肢湿冷等)应先迅速纠正循环衰竭后再行内镜检查。内镜下止血起效迅速、疗效确切。常用的内镜止血方法包括药物局部注射、热凝止血和机械止血。机械止血主要采用各种止血夹,尤其适用于活动性出血。对内镜下止血失败的急性非静脉曲张性上消化道出血(ANVUGIB)患者,挽救性治疗方式可选择经导管动脉栓塞(transcatheter arterial embolization,TAE)或外科手术。对存在复杂合并症的高龄患者,或凝血功能障碍等不适合外科手术的高危患者,宜首先考虑行TAE。
维多利亚网络平台网址

晋公网安备 14010902000808号